
かじやま歯科クリニックのインプラント治療
かじやま歯科クリニックでは、歯科用CTを導入して安全で確実なインプラント治療をおこなっています。
ここでは、インプラントについてご説明いたします。
歯が抜けてしまった方へ
そのまま放置するとかみ合わせがズレて、健康な歯にも影響を及ぼしますので、
すぐに歯科医院にて検査しましょう。
![]() |
![]() |
失ったかみ合わせを回復するには大きく3つの方法があります。
![]() |
![]() |
![]() |
| 入れ歯 | ブリッジ | インプラント |
入れ歯
隣の歯を削ることなく失ったかみ合わせを回復することができます。
また保険で治療を行うことが出来るので、少ないご負担で治療できます。
しかし取り外しの煩わしさと慣れるまで違和感があるかもしれません。
お年寄りが誤嚥性肺炎(異物が気管に入って、そのために生じる肺炎のこと。)で亡くなられる方が増えており、義歯の清掃や口腔内を清潔に保つことが重要です。
ブリッジ
両隣の歯を支えに連結固定して、失ったかみ合わせを回復します。
入れ歯に比べて、違和感は少ないです。
ただし、両隣の支えになる「健康な歯」を削らなければなりません。
また、咬む時に加わる力はほとんど支えている歯にかかるため、失った歯の数が多い場合は、支える歯の負担能力を超えてしまうため行うことが出来ません。
![]() |
![]() |
|
![]() |
![]() |
|
インプラント
取りはずし式の義歯で満足に噛めない人にはインプラント(人工歯根)が最も有効な治療法です。
最大の利点は健康な歯を削ったり、残存歯に負担をかけたりして健康な歯を犠牲にすることがなく、欠損部を補うという事です。
また術後に定期的なチェックとメンテナンスを行うことによって長く満足のゆく状態を維持できます。
インプラント治療について
インプラント(人工歯根)治療法は、歯を抜いた後にアゴの骨にインプラントを埋め込み、1カ月〜6カ月後、その上に人工の歯をしっかりと固定するという治療法です。
この治療法 は外科手術をともないますので、全身の状態を十分診査し、患者さんと話し合いながら、治療を進めていきます。
費用は1本40万(奥歯)〜50万(前歯)です
インプラント治療のメリット・デメリット
【メリット】 自分の歯として実感できるため、入れ歯と違い、よく噛むことができます。
【デメリット】 外科手術をともなうので治療期間が長くなる。
保険適用外のため費用がかかる
インプラント治療の進み方
診断と治療計画
手術する前に診断と適正処置を行います。
手術
骨の中にインプラントを埋め込みます。
治療期間を経て、インプラントと骨が固定されます。
完成
アバットメントを連結し、
歯肉を治療してから補綴処置を行います。
実際のインプラント治療を見てみる
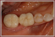
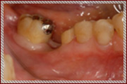
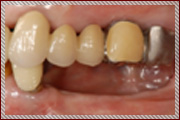
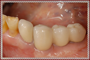
症例1
![]() |
![]() |
|
右下の奥歯のうしなった部位にたいして、痩せた歯茎の再生治療とインプラント治療をおこないました。インプラント治療を行うことで両隣の歯を痛めることなく歯を入れることができます。デメリットとしては治療費が高額なことと手術により腫れや痛みが出ることがあげられます。 |
||
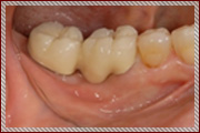
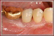
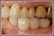
症例2
![]() ![]() |
![]() ![]() |
|
やせてしまった下あごの骨を再生させる手術と歯茎を再生する手術をおこない、3本のインプラント治療を行いました。インプラント治療を行うことで入れ歯ではなくしっかり噛める歯を入れることができます。デメリットとしては治療費が高額なことと手術により腫れや痛みが出ることがあげられます。 |
||



































