
虫歯の治療
上の図の“C”とは虫歯の事です。 数字が上がるごとに虫歯のグレードが上がり(悪化し)治療法や治療期間が変わってきます。
進行具合によって治療法もことなります。まず歯科医院にて検査しましょう。
C0の治療
一度虫歯になると、絶対に治せないと思われがちですが、
虫歯にかかり始めの初期段階では自然治癒することが可能です。
この段階はでは削って詰め物はしません。しっかりと歯磨きを行い、
キシリトール、フッ素、リカルデント等を使うことで虫歯は自然と治ります。
(これを再石灰化といいます。)
詳細はこちら
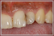
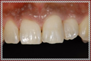
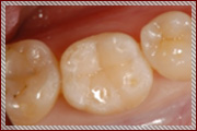
C1〜C2の治療:歯の表面と内側を削って詰める治療を行います
単に虫歯を削って詰めるといっても暗くて小さいお口の中で、
患者さまの健康な歯を傷つけずに虫歯の部分のみを取り除くことは、
非常に困難な作業です。
そのため従来の肉眼による治療では、
虫歯以外の健康な歯もたくさん削られて治療されていました。
その結果、治療後も歯がしみる、痛いなどの不快症状が残ることがあります。
当院では顕微鏡などの拡大鏡を使用することにより、
健康な歯を削らずに残し、
むし歯になってしまった部分だけを取り除いて
そこに接着材料をつかってきれいに封鎖する
MI治療(Minimum Intervention〜最小の侵襲)をおこなっております。
治療後の不快症状を最小限におさえ、なによりも従来の治療よりも歯を削らないため
患者さまの大切な歯を長持ちさせることができます。
![]() |
![]() |
![]() |
![]() |
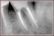
C3〜C4の治療
歯の神経まで菌が達しているので、歯の根っこの治療を行います。
根の治療、根管治療(根幹治療)
これまでは通常、根の治療はレントゲン写真や計器などをたよりに、いわば手探りの状態で治療していました。
そのため、どんなに処置をしても治らないこともあり、長期間の治療を強いられることもしばしばありました。
最善の治療を考え当院では顕微鏡治療を導入し、いままでの手探りの治療から精度の高い視覚的な治療を行うことが可能になりました。
その結果、治療後の不快症状も少なく、きれいに治ります。
写真で見る、顕微鏡を用いた根の治療
![]() |
![]() |
|
お口の中は通常この様に暗く、目視だとなかなか細部までは見えません。 |
当院では顕微鏡を用いて上記のサイズに拡大して、細かい歯の根っこの治療を行いますので、神経を傷つけずに、リスクの少ない治療を心がけております。 |
|
![]() |
![]() |
|
上記は歯のレントゲン写真です。二本足のように、歯が歯茎に埋まってますが、右の歯の黒い部分(二本足のつけ根の部分)が菌に冒されてます。 |
非常に細かい部分ですが、顕微鏡を使い、菌に犯されているところを治療した後にレントゲンを取りました。 |
|


























